髙橋 治海 ( Harumi Takahashi)
外科、乳腺外科
| 専門・得意分野 | 乳腺外科 |
|---|---|
| 略歴 | 昭和58年 三重大学医学部卒業 昭和58年 岐阜大学第2外科医員研修医 |
| 資格・免許 | 日本外科学会専門医 日本乳癌学会指導医・専門医 マンモグラフィ読影認定医 |
BREAST SURGERY
患者さまと「共に考え、歩んでいく治療」を目指します。
2021年4月から日本乳癌学会指導医・専門医である高橋医師が赴任し乳腺外科診療の充実を図っています。患者さまと「共に考え、歩んでいく治療」を実現し、地域で必要とされる安心・安全な乳腺外科チームを作り、地域で安心して治療を続いていく体制を早期に実現したいと思っています。

乳がんは、適切な治療ができれば5年生存率が高いがんではあります。しかし再発すると、命を少し伸ばすことはできますが、「治る」ことはありません。できるだけ生活の質を維持しながら、患者さまのご希望を優先し、さまざまな選択肢を考えながら、「共に考え、歩んでいく治療」を実現しています。

乳がんは早期発見・早期治療ができれ ば治るがんでもあります。人間ドックや乳がん検診で乳房に何らかの問題が見つかった時、精密検査や治療を行うため乳腺外科を受診することになります。診察から始めて、生検などの検査を行い、診断が確定したら手術や抗がん剤(あるいはホルモン剤)治療を行います。さらに 術後のフォローアップまで含めると、医師と患者さまとの付き合いは、長期間にわたります。

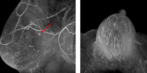
当院では2023年6月に最新の3Dマンモグラフィ装置を導入しました。従来の2Dマンモグラフィと比べて、3Dマンモグラフィはより多くの乳がんを発見できるとされています。2Dではとらえることが難しい、乳腺に重なった病変を分離して抽出することができる撮影法です。
メリット
マンモグラフィ検診で要精査と判断された微細石灰化病変の生検 が、当院で行えるようになりました。従来のステレオガイド下石灰化生 検に比べて、マンモグラフィ断層撮影を用いることで、より短時間で正確に生検を施行できます。
がんを疑う早期の乳がんで石灰化を呈する病変の生検は特別な機器と技術が必要で、大病院では2~3ヶ月待ちの検査となりますが、当院では2~3週間で迅速に検査できます。
神戸大学医学部附属病院形成外科の協力を得て、人工物を用いた乳房再建が可能となりました。
2023年9月から乳がん遺伝子検査(オンコタイプDX)が保険適応されました。この検査は、ホルモン陽性・HER2陰性の乳がん患者さんの治療方針を決定するための検査です。21個の乳がんに関わる遺伝子検査を行い、各遺伝子の再発スコアからトータルの再発スコアを算出し、再発する確率と抗がん剤の上乗せ効果の有無が確認できます。 これまでは保険適応外の検査であったため全額自己負担でしたが、保険適応となり自己負担分のみの支払いになりました。検査結果により不要な抗がん剤治療を避けることが可能です。患者さんの意思決定 に役立つ重要な検査となります。
| 手術名 | 2021年度 | 2022年度 | 2023年度 | |
|---|---|---|---|---|
| 乳腺 | 乳腺切除術 | 8件 | 12件 | 13件 |
| 部分切除術 | 1件 | 3件 | 4件 | |
| センチネルリンパ節生検 | 8件 | 10件 | 15件 | |
| 腋窩郭清 | 2件 | 4件 | 3件 | |
現在、予定されている休診はありません。
急遽、担当医が変わる場合がございますのでご了承ください。
マンモグラフィ検診精度管理中央委員会、マンモグラフィ検診施設画像認定
