重要なお知らせ 重要なお知らせ

血管造影検査(アンギオグラフィー)

血管造影装置とは

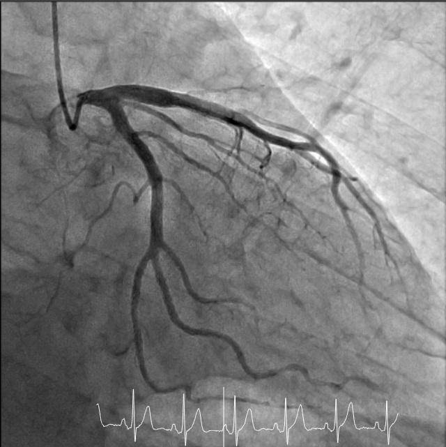
血管はX線写真では写す事が出来ません。しかし造影剤という薬を使用することで、血管を写す事が出来ます。心臓カテーテル検査では直径約1~2.5mm程のカテーテルと呼ばれる細い管を心臓まで到達させ、その管を使って造影剤を注入する事で心血管の血流を撮影します。

アンギオグラフィー
心臓カテーテル検査
心臓カテーテル検査
心臓カテーテル検査

心臓カテーテル検査

心臓カテーテル検査とは、カテーテルを手首またはそけい部の動脈から心臓の血管(冠動脈)や心臓の中まで挿入し、心室内の圧を測定したり造影剤を使用して冠動脈の状態を見たり、心臓の動きを観察する検査です。血管からカテーテルを挿入して行う検査のため、2~3日程度の入院が必要となります。

心臓カテーテル治療

心臓カテーテル検査の結果、血管のつまり(狭窄)を発見した場合は、カテーテルを使用した治療を行います。血管を広げる方法は主にバルーン治療やステント治療があります。

詳しくは、循環器病センターのページでご確認ください。

患者様へ

心臓カテーテル検査は、医師、診療放射線技師、看護師、臨床工学技士などのチームで構成されています。チーム医療で連携した検査の効率化と医療サービスの向上に努めてまいりますので、ご安心して検査を受けて頂けるようにスタッフ一同、準備しております。 ご不明な点は、当院へお尋ねください。

設備・検査機器 のページ一覧